IRIS PET, CT, and PET/CT

The IRIS scanner is dedicated to in-vivo preclinical research on small animal such as mice and rats. IRIS is available in single modality PET, CT or dual modality PET/CT. IRIS technology is extremely flexible and an IRIS PET or CT scanner can be upgraded to PET/CT at a later stage.

workimg

Key features

Optimized for rodent imaging

High performance

High throughput

Easy to use

Cost-effective

 

Highest sensitivity PET

PET spatial resolution near 1 mm

Full mouse FOV

Best energy resolution

CT optimized for speed

Low dose and high resolution

Sensorless cardiac and resp. gating

4D CT imaging technology

Specifications PET

Sensitivity: > 9% [250 - 750 keV]

Spatial resolution: CFOV: ~ 0.9 mm

Axial FOV: 96 mm

Trans-axial FOV: > 80 mm

Energy resolution: < 13%

Timing resolution = 1.8 ns

Advanced reconstruction: inter-pixel scatter correction, positron-range correction

Specifications CT

X-ray tube: 35-80 kV, 0-1 mA, 80W max

Detector imaging area: > 11.4 x 14.5 cm2

Scan time: 4 s (ultra-fast mode), 20 s (standard mode), 2 min (high resolution scan)

Low dose: < 1 mGy

Resolution: ~ 42 µm @ 10% MTF (OPTION ZOOM)

Minimal voxel resolution: < 15μm

Axial FOV: > 90 mm

Dynamic 4D acquisition

Software based respiratory and cardiac gating

Cone beam CT

Highlight technologies

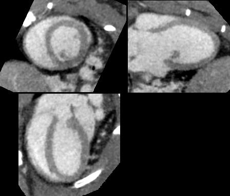
Software based CT resp. and cardiac gated imaging WITHOUT ECG and resp. sensor

workimg

Fully automated respiratory gating with CT acquisition for only 40s

workimg

Cardiac gating with 20 phases per R-R interval

  • Courtesy of: D. Panetta and P.A. Salvadori, IFC-CNR Pisa

Fully automated PET resp. and cardiac gated imaging with integrated ECG and resp. sensor

workimg
  • Courtesy of: D. Brasse, CNRS Strasbourg

Guideline for activity injection in mice

workimg

Gallery IRIS PET/CT

Gallery IRIS CT